HIV raises risk of impaired neurological development in children
The research was conducted at the University of Rochester Medical Center.
Study finds talk therapy may boost the mental health of patients with dementia
The study can be read in the journal eClinicalMedicine.
Study reveals brain regions where meanings of words are retrieved and processed
The study was publicized in the Journal of Neuroscience.
New research finds neurodegeneration may be studied before symptoms occur
The studies were published in PLOS Pathogens and Life Science Alliance.
New research finds method to detect Alzheimer’s disease in blood samples
The research was published in the journal Alzheimer's Research & Therapy.
Study finds metabolism in type 2 diabetes is more dysregulated than previously believed
The study was published in Cell Reports Medicine.
How prenatal acetaminophen may be linked to ADHD-like symptoms in young children
The study included data from prior research of over 2,400 women.
Study finds low-calorie sugar substitutes may impair memory later in life
The study was conducted at the University of Southern California.
Study links pediatric cases of COVID-19 to type 1 diabetes
The pediatric patients had contracted COVID-19 between 2020 and 2021.
Mind-body practices may reduce blood sugar levels in patients with type 2 diabetes
The study was released in the Journal of Integrative and Complementary Medicine.
Researchers explore behavioral test to measure risk of Alzheimer’s before symptoms arise
The study was conducted at the California Institute of Technology.
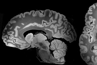
Researchers find brain images can accurately determine one’s biological age
The study was released online in NeuroImage.