Recalling sexual victimization may not be impaired by moderate alcohol intoxication
A questionnaire was completed within seven days of the experiment concluding.
Research shows obesity-related neurodegeneration is similar to Alzheimer’s disease
The researchers sampled over 1,300 people.
New study explores test that can detect Alzheimer’s years before diagnosis
Researchers gathered blood samples from 56 patients with Mild Cognitive Impairment.
Prenatal exposure to pollution may be linked to lower cognitive scores in infants
Experts at the University of Colorado studied 161 healthy participants residing in California.
Researchers unveil new drug candidate to help treat adrenoleukodystrophy
The research was a 96-week randomized, placebo-controlled phase 2-3 trial.
New research finds Alzheimer’s risk factors affect males and females very differently
The data was gathered from the Victoria Longitudinal Study.
Study establishes critical role in regulating excessive folding of gyri in brain
Researchers initiated a genomic analysis of close to 10,000 families with pediatric brain disease.
Nitrite additives may be associated with a higher type 2 diabetes risk
More than 100,000 adults from the French NutriNet-Santé cohort study were recruited for the research.
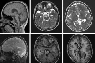
Researchers explore the genetic causes of malformations of cortical development
The research involved the genetic landscape from 283 brain resections.
Study suggests gut bacteria may lead to the development of type 2 diabetes
One specific type of bacteria found in the gut may lead to the development of type 2 diabetes.
New research finds gardening may help boost mental health and lower cancer risk
The new study was conducted at CU Boulder.
Researchers explore effectiveness of combat-related PTSD treatment
The participants were treated with either massed or intensive outpatient formats of prolonged exposure therapy.