Insulin causes considerable economic burden for American consumers
A team at Yale University highlights the financial burden of insulin on diabetic patients in America.
Study finds mental distress affects almost half of all teenage females in Norway
The adolescents surveyed were assessed for a history of subjective anxiety and depressive symptoms.
ICD-11 lists complex post-traumatic stress disorder as a new condition
The report was published in the Lancet.
New research identifies personality traits linked to cognitive deficits
The study was published in the Journal of Personality and Social Psychology.
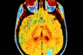
Many known biological pathways in the brain are impacted by Alzheimer’s disease
The findings suggest that Alzheimer's is a complex illness with a functional reach that is almost global.
Immune system and CNS may play a major role in ALS
The findings are significant progress in understanding the pathogenesis of ALS.
New study suggests developmental dyslexia is vital to human adaptive success
The findings were made evident from all domains of analysis, including visual processing to memory.
Study uncovers blood vessels and amyloid-β 1-40 accumulation as implicated in Alzheimer’s pathology
New research in PNAS was conducted by the University of Manchester.
New research elucidates how dopamine D2 receptors in the cerebellum regulate social behaviors
The journal report is published in Nature Neuroscience.
Study assesses large-scale circuit reorganization after traumatic brain injury
The study, conducted by the University of California, Irvine, addressed the issue of traumatic brain injury.
Mental health risk greater for combat veterans injured during deployment
Over 1,100 male veterans from the ADVANCE study were included.
Researchers link vitamin D deficiency to cognitive decline
The study involved the analysis of data of close to 300,000 participants from the UK Biobank.